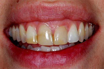
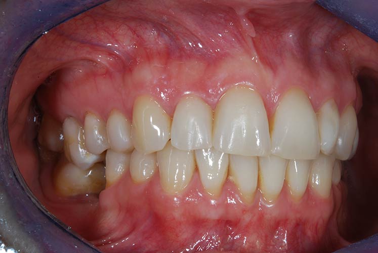
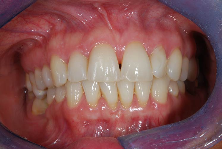
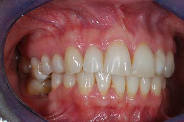
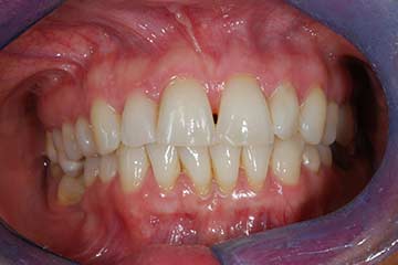
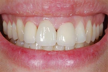
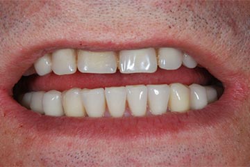
Con protesi fissa superiore e protesi fissa inferiore
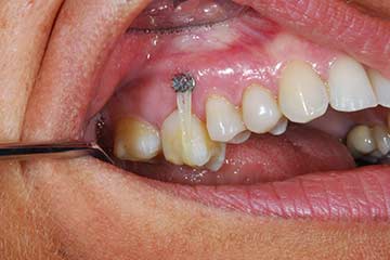
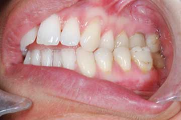
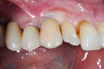
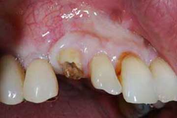
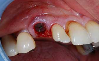
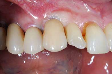
I denti irrecuperabili dell'arcata superiore ed inferiore del paziente di anni 65
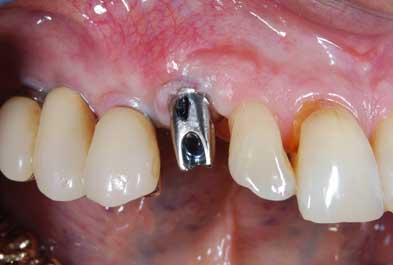
sono stati sostituiti da 10 impianti, cioè protesi radicolari endo-ossee che sostengono le protesi fisse superiore ed inferiore.